NHẬN DẠNG TÌNH TRẠNG DA
Cung cấp nền tảng kiến thức chuyên sâu giúp bạn thấu hiểu cơ chế bệnh sinh và lộ trình phục hồi làn da bền vững.

NHỮNG MỐI QUAN TÂM VỀ DA HÀNG ĐẦU
Lựa chọn vấn đề đang quan tâm để tìm kiếm giải pháp chuyên sâu cho làn da
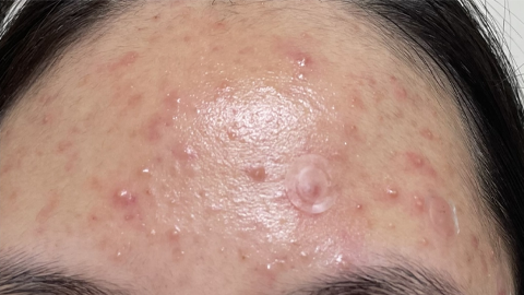
HIỂU RÕ VỀ MỤN
Kiến thức tổng quan
Mụn trứng cá
Tìm hiểu chi tiết về mụn trứng cá – loại mụn phổ biến nhất do rối loạn sừng hóa và hoạt động của vi khuẩn C. acnes.
Mụn đầu đen
Nhân mụn hở bị oxy hóa khi tiếp xúc với không khí.
Mụn viêm
Tình trạng sưng đỏ, đau nhức do nhiễm khuẩn thứ phát.
Mụn ẩn
Nhân mụn nằm sâu dưới biểu bì, gây bề mặt sần sùi.
Mụn đầu trắng
Nhân mụn được bao phủ bởi lớp da mỏng, đầu trắng, không bị oxy hóa.
Mụn cám
Các sợi bã nhờn tập trung chủ yếu ở vùng chữ T và cằm.
Mụn bọc
Mụn trứng cá thể nặng, nguy cơ gây thương tổn nặng cho da.



